Tomograf stomatologiczny CBCT Acteon X-Mind Pano Optima 3D
Technologia AI wkracza w świat stomatologii, oferując nieocenioną pomoc diagnostyczną. X-Mind Optima 3D to najnowszy model tomografu CBCT od Acteon, naszpikowany zaawansowanymi rozwiązaniami i oprogramowaniem, zapewniającym najwyższą jakość zdjęć. Wszystko to w maksymalnie małej konstrukcji do montażu ściennego, idealnej nawet do najmniejszych gabinetów.
RealGuide™ - sztuczna inteligencja w służbie stomatologii
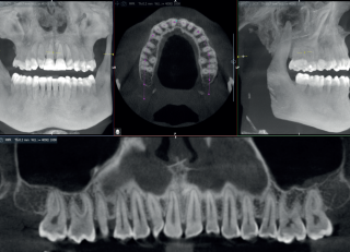
X-Mind Optima 3D to przełom w dziedzinie diagnostyki CBCT. Unikalne oprogramowanie RealGuide™ 5.4 w urządzeniu, napędzane mocą AI, usprawnia skomplikowane procedury diagnostyczne i implantologiczne. Wykorzystane algorytmy automatyzują kluczowe procesy oraz ułatwiają wykonywanie złożonych zabiegów. W rezultacie aparat stanowi nieocenioną pomoc m.in. w segmentacji zębów, wykreślaniu CPR, śledzeniu przebiegu nerwów i pozycjonowaniu implantów.


Najwyższa dokładność
Nowoczesny detektor w Acteon X-Mind Optima 3D zapewnia wyjątkową jakość obrazowania, kluczową w precyzyjnej diagnostyce. Dzięki filtrowi ClearIQ uzyskasz niezwykle przejrzysty obraz, a redukcja artefaktów zbieżnych zwiększy czytelność skanów. Szeroki zakres pól widzenia (5 x 5 – 17 x 12 cm) umożliwia diagnostykę w ortodoncji, chirurgii ortognatycznej, implantologii, czy leczeniu skomplikowanych przypadków ortognatycznych. Rozszerzony zakres napięcia lampy do 90 kV pozwala na lepszą penetrację tkanek, co przekłada się na jeszcze wyraźniejsze detale anatomiczne.





Intuicyjne, kompleksowe oprogramowanie
Oprogramowanie Acteon Imaging Suite zapewnia kompleksowe zarządzanie danymi diagnostycznymi, umożliwiając bezproblemową integrację tomografu CBCT X-Mind Optima 3D z innymi urządzeniami w gabinecie. Obsługa standardu DICOM pozwala na łatwą wymianę i archiwizację obrazów, a kompatybilność z różnymi systemami radiologicznymi usprawnia pracę w wielospecjalistycznym środowisku. Zaawansowane narzędzia do raportowania zapewniają szybkie generowanie dokumentacji, analizę przypadków oraz udostępnianie wyników w formatach cyfrowych.

Montaż urządzeń RTG wymaga fachowej wiedzy i odpowiednich uprawnień serwisu. Przed podjęciem decyzji o zakupie zalecamy skontaktować się z autoryzowanym serwisem i ustalić warunki montażu. Gwarancja producenta obejmuje urządzenie tylko wtedy, gdy jest zamontowane przez autoryzowany serwis co powinno być potwierdzone sporządzonym protokołem montażu.

Acton X-Mind Optima 3D – najważniejsze zalety
- Wszechstronność diagnostyczna – szeroki zakres pól widzenia umożliwia precyzyjne obrazowanie w implantologii, ortodoncji, chirurgii ortognatycznej i endodoncji.
- Sztuczna inteligencja RealGuide™ 5.4 – automatyzacja kluczowych procesów i ułatwienie podczas najtrudniejszych zabiegów.
- Zaawansowana technologia detektora –wyjątkowa przejrzystość obrazów i minimalizację artefaktów.
- Acteon Imaging Suite – intuicyjne oprogramowanie z zaawansowanymi narzędziami analitycznymi i kompatybilnością z systemami CAD/CAM ułatwia planowanie leczenia.
- Kompaktowa i elastyczna konstrukcja – możliwość montażu na ścianie i niewielkie wymiary – idealne do niemal wszystkich gabinetów.
Poznaj tomograf Acteon X-Mind Optima 3D:
Opinie o produkcie
Jeszcze nikt nie dodał opinii o tym produkcie
Dodaj opinię o produkcie

Acteon X-Mind Optima Pano 3D