Tomograf CBCT z przystawką cefalometryczną X-Mind Optima Pano Ceph 3D
Powitaj przyszłość stomatologii. X-Mind Optima Ceph 3D to nowoczesny tomograf z przystawką cefalometryczną, wyposażony w oprogramowanie wspierane mocą AI i oferujący wyjątkową jakość zdjęć. To gwarancja dokładności i szerokiego pola obrazowania, która idealnie odnajdzie się nawet w najbardziej wymagającej diagnostyce.
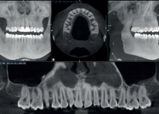
Wysokoczuły detektor. Wyjątkowa jakość obrazowania
Zaawansowany detektor zastosowany w tomografie Acteon X-Mind Optima Ceph 3D gwarantuje doskonałą jakość obrazowania, niezbędną do precyzyjnej diagnostyki. Technologia ClearIQ znacząco poprawia ostrość zdjęć, a redukcja artefaktów zbieżnych zwiększa ich czytelność. Dzięki rozszerzonemu napięciu lampy do 90 kV możliwa jest lepsza penetracja tkanek, co przekłada się na wyjątkową wyrazistość struktur anatomicznych.
Elastyczny wybór pól widzenia w zakresie od 5 x 5 do 17 x 12 cm przekłada się na możliwość wszechstronnego zastosowania w ortodoncji, implantologii, chirurgii ortognatycznej oraz przy diagnostyce złożonych przypadków.







Diagnostyka stomatologiczna ze wsparciem sztucznej inteligencji
X-Mind Optima Ceph 3D wyznacza nowy standard dla gabinetów. Zastosowane w nim innowacyjne oprogramowanie RealGuide™ 5.4, wspierane sztuczną inteligencją, znacząco usprawnia zaawansowane procedury diagnostyczne i implantologiczne. Inteligentne algorytmy automatyzują kluczowe etapy pracy, co ułatwia planowanie i przeprowadzanie skomplikowanych zabiegów. Urządzenie stanowi niezastąpione wsparcie w segmentacji zębów, wyznaczaniu linii CPR, analizie przebiegu nerwów oraz precyzyjnym pozycjonowaniu implantów.
Oprogramowanie Acteon Imaging Suite
Oprogramowanie Acteon Imaging Suite oferuje pełne zarządzanie danymi diagnostycznymi, umożliwiając płynną integrację tomografu CBCT X-Mind Optima 3D z pozostałym sprzętem w gabinecie. Obsługa standardu DICOM ułatwia archiwizację i wymianę obrazów, a szeroka kompatybilność z systemami radiologicznymi usprawnia współpracę w środowisku wielospecjalistycznym. Rozbudowane funkcje raportowania pozwalają na szybkie tworzenie dokumentacji, dokładną analizę przypadków oraz wygodne udostępnianie wyników w formie cyfrowej.

Montaż urządzeń RTG wymaga fachowej wiedzy i odpowiednich uprawnień serwisu. Przed podjęciem decyzji o zakupie zalecamy skontaktować się z autoryzowanym serwisem i ustalić warunki montażu. Gwarancja producenta obejmuje urządzenie tylko wtedy, gdy jest zamontowane przez autoryzowany serwis co powinno być potwierdzone sporządzonym protokołem montażu.

Acteon X-Mind Optima Ceph 3D – najważniejsze zalety
- Rozbudowane możliwości diagnostyczne – szeroki zakres dostępnych pól widzenia pozwala na precyzyjne obrazowanie w implantologii, ortodoncji, chirurgii ortognatycznej oraz endodoncji.
- Inteligentne wsparcie RealGuide™ 5.4 – automatyzacja najważniejszych procesów oraz ułatwienie realizacji nawet najbardziej wymagających procedur.
- Zaawansowany system detektora – zapewnia wyjątkową jakość obrazów, zwiększoną przejrzystość oraz redukcję niepożądanych artefaktów.
- Acteon Imaging Suite – intuicyjne oprogramowanie wyposażone w zaawansowane narzędzia analityczne i pełną kompatybilność z systemami CAD/CAM, co znacząco usprawnia planowanie leczenia.
- Podstawka cefalometryczna – prezentowany aparat łączy w sobie zalety aparatu CBCT z aparatem cefalometrycznym, poszerzając możliwości Twojego gabinetu.
Poznaj tomograf Acteon X-Mind Optima 3D:
Opinie o produkcie
Jeszcze nikt nie dodał opinii o tym produkcie
Dodaj opinię o produkcie

Acteon X-Mind Optima Pano Ceph 3D