Tomograf panoramiczny X Mind Prime 2 Pano 3D
Acteon X-Mind Prime 2 Pano 3D (wcześniej Acteon X-Mind Prime Pano 3D) to profesjonalny aparat panoramiczny, wyposażony w funkcję wykonywania wysokiej jakości fotografii trójwymiarowych. Prezentowany model jest najnowszą generacją tomografu z serii X-Mind Pirme. Zapewnia jeszcze wyższą dokładność tomografii dzięki wysokiej rozdzielczości i nowoczesny wygląd (został wyposażony w nowe obudowy). Urządzenie pozwala na sprawne przeprowadzenie badań 2D i 3D przy bardzo krótkim czasie ekspozycji. Nowoczesne rozwiązania technologiczne przekładają się na maksymalną precyzję diagnozy, sprawdzając się idealnie w gabinetach stomatologicznych, stawiających na najwyższą jakość diagnostyki i zabiegów.
Idealny obraz przy krótkim czasie ekspozycji
Tomograf X-Mind Prime 2 Pano 3D cechuje wielkość woksela na poziomie 72,5 μm oraz dostępność szerokiego zakresu FOV od 50 x 50 do 120 x 100 mm. W połączeniu z automatycznym doborem ustawień i dawki zyskujesz pewność dokładnego zbadania najmniejszych elementów anatomicznych w 3D. Wszystko to przy zaledwie 7-sekundowym czasie ekspozycji, potrzebnym do uzyskania obrazu pełnego uzębienia.
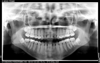
X-Mind Prime 2 Pano 3D pozwala na przeprowadzenie badań 2D i 3D, w tym uzyskanie kompletnego panoramicznego widoku szczęki i żuchwy, zatok szczękowych, stawów skroniowo-żuchwowych, a także wszystkich struktur wokół nich. Za pomocą urządzenia wykonasz m.in:
- badanie półpanoramiczne (lewe i prawe),
- badanie skrzydłowo-zgryzowe (lewe i prawe),
- badanie przednie (ograniczenie ekspozycji do przedniej części łuków).


Pełna ergonomia podczas badania
Tomograf panoramiczny X-Mind Prime 2 Pano 3D został zaprojektowany tak, by maksymalnie skrócić czas pozycjonowania pacjenta. Model ten pozwala na uzyskanie naturalnego ustawienia twarzą w twarz z lekarzem na podstawie laserów pozycjonujących oraz zautomatyzowanego rozpoznawania podpory brody. Regulacja teleskopowej kolumny na panelu sterowania, umieszczonym pod podporą brody, umożliwia dostosowanie urządzenia do każdego pacjenta, w tym osób poruszających się na wózku inwalidzkim. Kompaktowa konstrukcja całości, montaż ścienny oraz niska waga (67 kg) przekładają się na możliwość stosowania nawet w małych gabinetach.
Inteligentne oprogramowanie ACTEON®
Pakiet oprogramowania ACTEON® w X-Mind Prime 2 Pano 3D to ulepszony, jeszcze bardziej intuicyjny system, który pozwala na łatwiejsze planowanie leczenia i kontroli po zabiegu. Jest w pełni kompatybilny z Twain® i DICOM. Umożliwia m.in. samodzielne zarządzanie zdjęciami ze wszystkich aparatów do diagnostyki obrazowej ACTEON®, udostępnianie informacji w sieci, a także zapisywanie opisów przypadków na CD lub pendrive.
Funkcja SMAR-T umożliwia selektywną redukcję artefaktów powodowanych przez metale. To innowacyjne narzędzie jest bardzo przydatne w ocenie zabiegów implantacji zębów.

Montaż urządzeń RTG wymaga fachowej wiedzy i odpowiednich uprawnień serwisu. Przed podjęciem decyzji o zakupie zalecamy skontaktować się z autoryzowanym serwisem i ustalić warunki montażu. Gwarancja producenta obejmuje urządzenie tylko wtedy, gdy jest zamontowane przez autoryzowany serwis co powinno być potwierdzone sporządzonym protokołem montażu.

Największe zalety X-Mind Prime 2 Pano 3D
- duże pole obrazowania 3D - 12x10 cm w standardzie,
- precyzyjne i wyraźne zdjęcia,
- możliwość wykonywania zdjęć panoramicznych i 3D,
- prosty panel sterowania,
- kompatybilność z Twain® i DICOM,
- ograniczona dawka promieniowania dzięki skróceniu czasu ekspozycji do 7 sekund,
- proste ustawianie pozycji pacjenta dzięki laserom pozycjonującym i rozpoznawaniu podpory brody,
- montaż ścienny, także w niewielkich gabinetach.
Opinie o produkcie
Jeszcze nikt nie dodał opinii o tym produkcie
Dodaj opinię o produkcie

Acteon X-Mind Prime 2 Pano 3D